Introducere
Pacienta a venit in clinica noastră pentru a-și îmbunătăți zâmbetul. Dintre toate opțiunile disponibile, a ales reabilitarea pe implanturi. Sistemul all on 6.
Problema
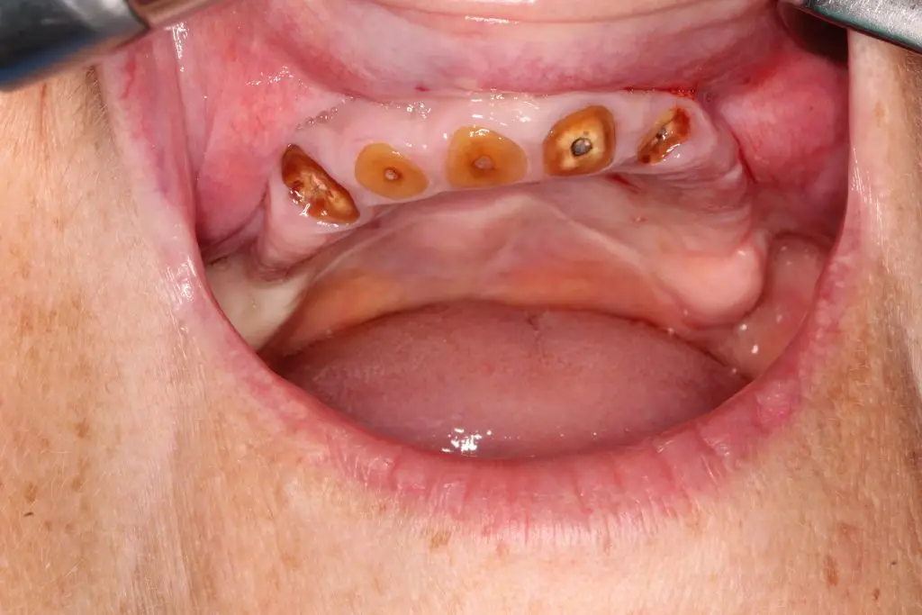
Pacienta avea o lucrare veche, dinti cu infectii si distructii coronare impirtante ce nu puteau fi restaurati. Era nemulțumita de aspectul lor și își pierduse încrederea în zâmbet.
Soluția propusă
Am recomandat extractia dintilor irecuperabili, aditia osoasa si procedura all on 6.
Procedura
Consultul inițial – Am discutat despre dorințele pacientei și am făcut o evaluare completă a sănătății orale.
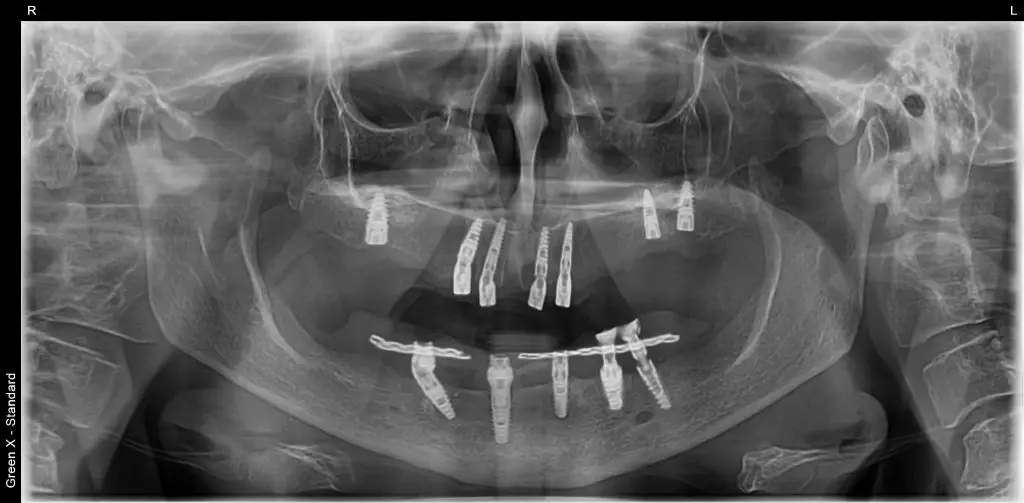
Am extras dintii irecuperabili, am practicat lifting de sinus maxilar (in unele situatii nu poate fi evitat) si am inserat 6 implanturi.
Pe implanturile frontale, a 2a zi, s-a inserat in cavitatea orala lucrarea provizorie pe implanturi.
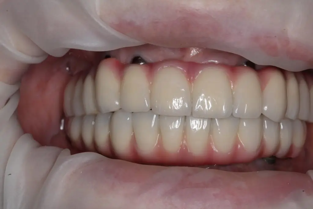
Dupa 6 luni, s-au realizat lucrarile finale pe implanturi, la maxilar si la mandibula.
Rezultatul
Pacienta a fost extrem de mulțumită de noul său zâmbet.Zâmbetul i-a redat încrederea și a ajutat-o să se simtă mai bine în interacțiunile sociale și profesionale.
Concluzie
Sistemul All-on-6 este o varianta sigura si predictibila pentru a reabilita cavitatea orala. Acum o pacienta fericita, cu un zâmbet impecabil.



